logo_projekt

Spletni portal Boletus informaticus

Statistika Letna poročila Karte razširjenosti Fotografije v BI Strokovnjaki    Prijava  Registracija

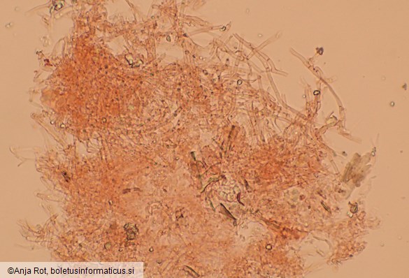
Gloeoporus taxicola (Pers.) Gilb. & Ryvarden (1985)

Naziv: Gloeoporus taxicola
Avtor slike: Anja Rot
Datum zajetja slike: 03.03.2026
Lokacija: Stržišče

Gloeoporus taxicola
Sliko v originalni velikosti 1239 × 844 pixel lahko snamete tukaj

Pogoji uporabe slike:  
Pogoji uporabePriznanje avtorstva-Nekomercialno

O portalu Pogoji uporabe Piškotki ISSN 2670-7705 Statistika obiskov Kontakt Povezave